Fale, coma e sorria livremente!
Um sorriso confiante é mais do que apenas dentes — é resgatar conforto, alegria e a capacidade de saborear os momentos da vida sem hesitação. Se você está considerando nos escolher para utilizar implantes dentários para restaurar dentes perdidos, você está no lugar certo.
Nossos tratamentos de implantes dentários na Carregal Odontologia são projetados para substituir dentes perdidos e ajudar você a redescobrir a alegria de um sorriso natural e confiante.
Por que escolher a Carregal Odontologia?
Os implantes dentários restauram a funcionalidade, o conforto e o bem-estar geral. Na Carregal Odontologia, somos especializados em implantes imediatos, onde o dente é extraído e o implante é colocado no mesmo dia. Isso reduz o tempo de tratamento de 8 a 9 meses para apenas 4 meses, o que nos diferencia de outras clínicas.
Experimente um processo de implante dentário mais rápido e eficiente. Pronto para recuperar seu sorriso confiante?
Os implantes dentários são a solução para:
- Dentes faltando
- Capacidade de mastigação diminuída
- Impedimentos na fala
- Desconforto com dentaduras sem suporte adequado
- Perda óssea e alterações na estrutura facial
Na Carregal Odontologia, acreditamos no poder transformador dos implantes dentários. Deixe-nos guiá-lo em uma jornada personalizada para um sorriso revitalizado e uma sensação renovada de bem-estar.
Seu conforto, seu jeito!
Sabemos que cada paciente é único, assim como suas preferências de conforto. Da sedação oral à intravenosa, nossas opções atendem às suas necessidades. Para alguns tratamentos com implantes, podemos providenciar anestesia geral de terceiros para uma experiência ainda mais confortável.
O que esperar da sua consulta de implantes dentários?
- Consulta abrangente
Consulta de 1-2 horas, incluindo um exame objetivo e avaliação de tomografia computadorizada.
- Plano de tratamento personalizado
O Dr. Rodrigo e Dr. Mateus irão analisar as opções de tratamento e iniciará o processo, se adequado.
- Opções de sedação
Escolha entre sedação oral ou intravenosa para uma experiência confortável.
- Vantagem do fluxo de trabalho digital
Menos consultas e colocação precisa do implante.
Perguntas frequentes sobre implantes dentários:
Quem é um candidato adequado para implantes dentários?
Os implantes dentários são uma opção versátil para muitos pacientes. Bons candidatos geralmente têm:
- Boa saúde geral
- Densidade óssea maxilar suficiente
- Gengivas saudáveis
No entanto, cada caso é único. Nossa equipe experiente realizará uma avaliação completa para determinar sua elegibilidade durante a consulta.
Quanto tempo demora o processo de implante dentario?
O prazo pode variar de acordo com fatores individuais, como o número de implantes, a necessidade de procedimentos adicionais, como enxerto ósseo, e o tempo de cicatrização. Em geral, todo o processo, desde a consulta até a colocação da restauração definitiva, pode levar vários meses. Forneceremos um cronograma personalizado durante sua consulta inicial.
O procedimento de implante dentário é doloroso?
Embora o desconforto possa variar de pessoa para pessoa, a maioria dos pacientes relata dor mínima durante o procedimento de implante dentário. A anestesia local é usada para anestesiar a área tratada, garantindo conforto durante todo o processo. O desconforto pós-operatório geralmente é controlado com analgésicos de venda livre.
Quanto tempo duram os implantes?
Estudos mostram que, com os devidos cuidados, os implantes podem durar bem mais de 20 anos. A prótese dentária em si pode sofrer desgaste normal, mas não é incomum que os dentes durem pelo menos 10 anos. Assim como acontece com os dentes naturais, é importante manter os devidos cuidados em casa, fazer consultas de rotina e evitar usar os dentes para coisas que não deveriam, como abrir garrafas.

Dr. Rodrigo F. Carregal – CROMG 13.289
Caso Clínico 1
Paciente usava prótese removível na arcada inferior. Planejamos a colocação de implantes e uma prótese fixa.

Dr. Rodrigo F. Carregal – CROMG 13.289
Caso Clínico 2
Paciente fraturou o pré-molar superior direito. Foi colocado um implante e necessidade de enxerto ósseo. Após o tempo para ósseo-integracão do implante, foi colocado o dente de porcelana.

Dr. Rodrigo F. Carregal – CROMG 13.289
Dr. Mateus Carregal – CROMG46380

Dr. Rodrigo F. Carregal – CROMG 13.289
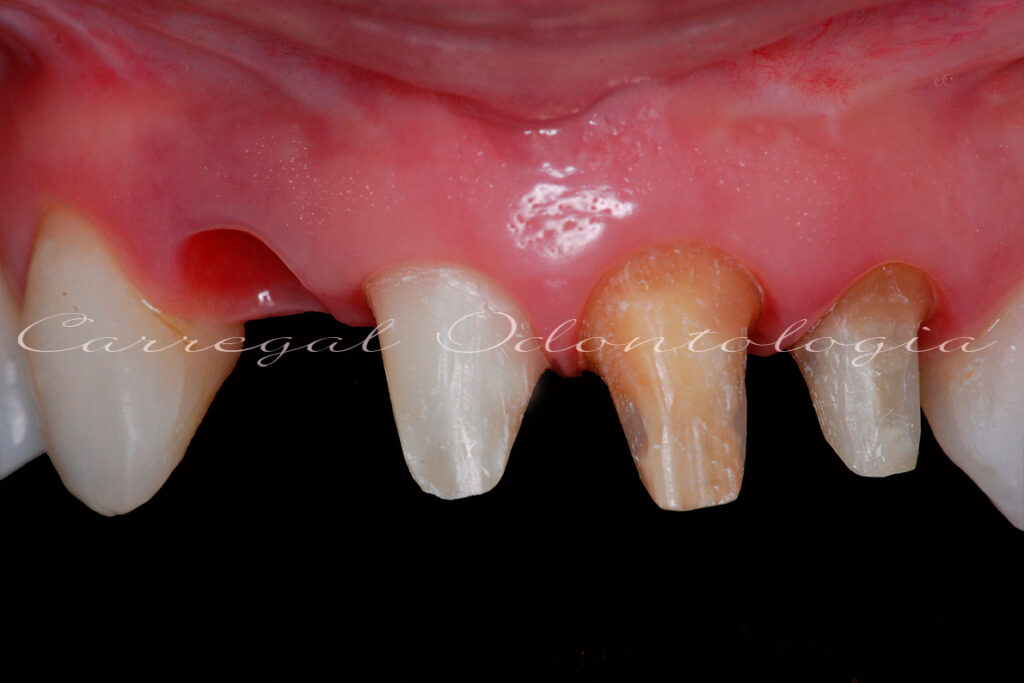
Caso clínico 3
Paciente fraturou o incisivo central. Foi extraída a raiz e colocado o implante e o dente no mesmo dia.

Dr. Rodrigo F. Carregal – CROMG 13.289
Caso Clínico 4
Paciente usava uma ponte móvel. Foi proposto a colocação de dois implantes e uma ponte fixa em porcelana.

Dr. Rodrigo F. Carregal – CROMG 13.289

Dr. Rodrigo F. Carregal – CROMG 13.289
Dr. Mateus Carregal – CROMG 46380
Caso Clínico 5
Paciente procurou a clínica queixando-se de desconforto quanto ao mastigar e estética. Foi proposto a instalação de implantes na arcada inferior e colocação de dentes de porcelana.

Dr. Rodrigo F. Carregal – CROMG 13.289
Dr. Mateus Carregal – CROMG 46380
Caso Clínico 6
Paciente com implante e alteração de cor e forma dos dentes anteriores. Foi proposto para melhorar a estética o revestimento dos dentes usando coroas de porcelana.

Dr. Rodrigo F. Carregal – CROMG 13.289

Dr. Rodrigo F. Carregal – CROMG 13.289
Dr. Mateus Carregal – CROMG 46380
Caso Clínico 7
Paciente usava prótese removível. Foi proposto e executado a instalação de implantes e dentes fixos em porcelana.

Dr. Rodrigo F. Carregal – CROMG 13.289
Dr. Mateus Carregal – CROMG 46380
Caso Clínico 8
Paciente usava prótese total superior. Foi proposto e executado para restabelecer a mastigação e estética a instalação de implantes e uma prótese fixa em porcelana.

Dr. Rodrigo F. Carregal – CROMG 13.289
Dr. Mateus Carregal – CROMG 46380

Dr. Rodrigo F. Carregal – CROMG 13.289
Caso Clínico 9
Paciente usava ponte fixa e prótese removível na arcada superior. Devido à fratura dos dentes que suportavam a ponte, foi proposto a instalação de implantes e uma ponte fixa em porcelana.

Dr. Rodrigo F. Carregal – CROMG 13.289
Caso Clínico 10
Paciente com perda dos dentes superiores. Foi proposto uma reabilitação para arcada superior com implantes e dentes de porcelana.

Dr. Rodrigo F. Carregal – CROMG 13.289
Dr. Mateus Carregal – CROMG 46380

Dr. Rodrigo F. Carregal – CROMG 13.289
Dr. Mateus Carregal – CROMG 46380
Caso Clínico 11
Paciente fraturou o primeiro molar superior direito. Foi colocado um implante e necessidade de enxerto ósseo. Após o tempo para ósseo-integracão do implante, foi colocado o dente de porcelana.

Dr. Rodrigo F. Carregal – CROMG 13.289
Dr. Mateus Carregal – CROMG 46380
Caso Clínico 12
Paciente com dentes anteriores revestidos com coroas mostrando perda da estética, problemas gengivais e má higiene. Após os exames de imagem vimos a necessidade de extração de todos os dentes superiores. Foi proposto uma reabilitação oral através de implantes e dentes de porcelana.

Dr. Rodrigo F. Carregal – CROMG 13.289
Dr. Mateus Carregal – CROMG 46380
Reabilitação Oral em pacientes totalmente desdentados com Implantes e Dentaduras removíveis (OVERDENTURES)
Quando o paciente não apresenta nenhum dente em uma das arcadas ou em ambas, e que a estrutura óssea não permite a colocação de implantes para colocação de uma prótese fixa, poucos implantes podem ser estrategicamente e biomecanicamente colocados com a finalidade de reter e estabilizar uma prótese total (dentadura). Esta prótese é então assentada sobre os implantes através de conecções entre os implantes e a prótese de maneira a propiciar para o paciente maior estabilidade e retenção durante a fala e a mastigação
Paciente com dentadura sentindo desconforto para mastigar e falar. Foi proposto e executado dois implantes com sistema de encaixe na arcada inferior. Nova prótese com encaixe inferior foi confeccionada, melhorando a estética e retenção para mastigar e falar.
Caso Clínico

Dr. Rodrigo F. Carregal – CROMG 13.289
Dr. Mateus Carregal – CROMG 46380
Paciente usava uma dentadura convencional queixando-se que a dentadura inferior não parava no lugar durante a mastigação.
Foi proposto a instalação de dois implantes inferiores para servir de retencao e estabilidade para a futura dentadura.
Paciente usava uma dentadura convencional queixando-se que a dentadura inferior não parava no lugar durante a mastigação.
Foi proposto a instalação de dois implantes inferiores para servir de retencao e estabilidade para a futura dentadura.
Reabilitação Oral em pacientes totalmente desdentados com Dentaduras
Para pacientes que perderam todos os seus dentes e que não apresentam condições ósseas favoráveis ou outros fatores que possam inviabilizar a colocação de implantes, podemos reabilitar o paciente com próteses totais (dentaduras) feitas através de técnicas de moldagens extremamente precisas e materiais de alta qualidade, dentes artificiais de um alto padrão de estética e mastigação e gengivas artificiais que imitam com grande precisão a gengiva do paciente.
Caso Clínico 1

Prótese total feita com dentes especiais e gengiva caracterizada.
Dr. Rodrigo F. Carregal – CROMG 13.289
Prótese total feita com dentes especiais e gengiva caracterizada.
Dr. Rodrigo F. Carregal – CROMG 13.289
Caso Clínico 2

Paciente usou a mesma protese por 20 anos. Foi proposto e executado uma nova prótese total com dentes especiais e um novo sorriso.
Dr. Rodrigo F. Carregal – CROMG 13.289
Paciente usou a mesma protese por 20 anos. Foi proposto e executado uma nova prótese total com dentes especiais e um novo sorriso.
Dr. Rodrigo F. Carregal – CROMG 13.289
Caso Clínico 3

Paciente necessitando de uma reabilitação oral. Foi proposto e executado uma prótese total superior e coroas de porcelana com prótese removível inferior.
Dr. Rodrigo F. Carregal – CROMG 13.289
Paciente necessitando de uma reabilitação oral. Foi proposto e executado uma prótese total superior e coroas de porcelana com prótese removível inferior.
Dr. Rodrigo F. Carregal – CROMG 13.289