










Tratamento Protético extenso sobre Dentes Naturais
Ao longo dos anos várias pessoas se submetem a tratamentos para a reconstrução dos dentes, muitos envolvendo quase ou toda a dentição. De acordo com as técnicas vigentes na época, a desqualificação de profissionais, muitos pacientes foram submetidos a desgastes acentuados dos tratamento endodônticos dos dentes naturais para confecção de coroas, pontes fixas ou móveis. Atualmente as técnicas para a elaboração dos trabalhos e os materiais utilizados por um profissional qualificado durante a reabilitação proposta, vem contribuindo para um alto grau de tranquilidade e a diminuição dos traumas gerados pelos tratamentos anteriores.

Dr. Rodrigo F. Carregal – CROMG 13.289
Dr. Mateus Carregal – CROMG 46380
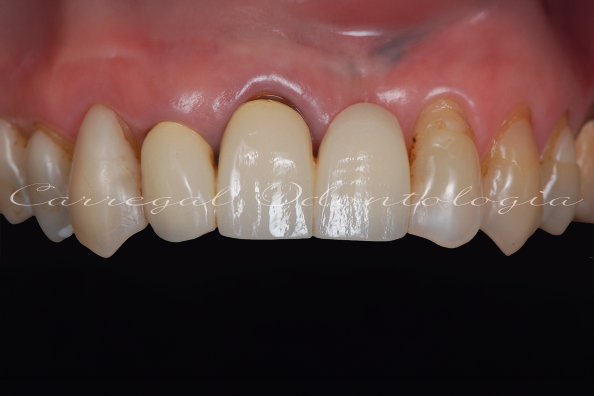
Caso Clínico 1
Paciente com coroas antigas e inflamação gengival necessitando de uma reabilitação oral. Foi proposto e executado para melhorar estética e mastigação, o revestimento de todos os dentes superiores por coroas de porcelana.

Dr. Rodrigo F. Carregal – CROMG 13.289
Dr. Mateus Carregal – CROMG 46380
Caso Clínico 2
Paciente com dentes inferiores alterados de cor e com desgaste severo devido ao bruxismo. Foi proposto e executado o revestimento de todos os dentes inferiores com coroas de porcelana.

Dr. Rodrigo F. Carregal – CROMG 13.289
Dr. Mateus Carregal – CROMG 46380

Dr. Rodrigo F. Carregal – CROMG 13.289
Caso Clínico 3
Paciente com dentes revestidos e desgastados, inflamação gengival generalizada. Foi proposto e executado uma reabilitação oral com cirurgias gengivais e o revestimento de todos os dentes com coroas de porcelana.

Dr. Rodrigo F. Carregal – CROMG 13.289
Caso Clínico 4
Paciente com dentes desgastados devido ao bruxismo e alteração de cor e forma. Foi proposto e executado uma reabilitação oral usando odontologia digital (CAD/CAM) para confecção das coroas de porcelana.

Dr. Rodrigo F. Carregal – CROMG 13.289

Dr. Rodrigo F. Carregal – CROMG 13.289
Dr. Mateus Carregal – CROMG 46380
Caso Clínico 5
Paciente com dentes cariados e alterados quanto a forma e cor. Foi proposto e executado uma reabilitação oral usando odontologia digital (CAD/CAM) para restabelecer a forma e confecção das coras em porcelana.

Dr. Rodrigo F. Carregal – CROMG 13.289
Dr. Mateus Carregal – CROMG 46380
Tratamento Estético dos Dentes Anteriores
Caso Clínico 1
Paciente com dentes anteriores quebrados, com resinas antigas. Foi proposto para melhorar a estética o revestimento dos dentes com facetas de porcelana.

Dr. Rodrigo F. Carregal – CROMG 13.289

Dr. Rodrigo F. Carregal – CROMG 13.289
Caso Clínico 2
Paciente com dentes anteriores conoides e com restaurações extensas em resina. Foi proposto e executado para melhorar a estética o revestimento dos dentes anteriores com coras de porcelana.

Dr. Rodrigo F. Carregal – CROMG 13.289
Caso Clínico 3
Paciente com dentes anteriores alterados na cor e forma. Foi proposto e executado para melhorar a estética, o revestimento dos dentes coroas de porcelana.

Dr. Rodrigo F. Carregal – CROMG 13.289

Dr. Rodrigo F. Carregal – CROMG 13.28
Caso Clínico 4
Paciente com dentes restaurados com resina e com alteração de cor, bem como espaços entre eles. Foi proposto e executado laminados de porcelana para preencher os espaços, ajuste de cor e forma para melhorar a estética.

Dr. Rodrigo F. Carregal – CROMG 13.28
Caso Clínico 5
Paciente com ausência do dente anterior sem estrutura óssea para implantes. Foi proposto e executado uma ponte fixa adesiva em porcelana pura.
Paciente com dentes anterior sem forma e cor. Foi proposto e executado para melhorar a estética, o revestimento destes dentes com coroas em porcelana.

Dr. Rodrigo F. Carregal – CROMG 13.289
Dr. Mateus Carregal – CROMG 46380

Dr. Rodrigo F. Carregal – CROMG 13.289
Caso Clínico 6
Paciente com dentes anterior sem forma e cor. Foi proposto e executado para melhorar a estética, o revestimento destes dentes com coroas em porcelana.

Dr. Rodrigo F. Carregal – CROMG 13.289
Caso Clínico 7
Paciente com perda da estética e muito desconforto ao sorrir. Foi proposto e executado para melhorar a estética, o revestimento dos dentes superiores com laminados e coroas de porcelana.

Dr. Rodrigo F. Carregal – CROMG 13.289
Dr. Mateus Carregal – CROMG 46380

Dr. Rodrigo F. Carregal – CROMG 13.289
Caso Clínico 8
Paciente com perda da estética e muito desconforto ao sorrir. Foi proposto e executado para melhorar a estética, o clareamento dos dentes e revestimento de três dentes anteriores superiores com laminados em porcelana.

Dr. Rodrigo F. Carregal – CROMG 13.289
Caso Clínico 9
Paciente com alteração da arquitetura gengival e dentes desgastados, com alteração na arquitetura gengival, comprometendo a estética. Foi proposto correção gengival através de cirurgia gengival convencional.

Dr. Mateus Carregal – CROMG 46380
Tratamento Protético Conservador dos Dentes Posteriores
Para evitar desgaste excessivo do dente a ser restaurado, o planejamento ideal na reconstrução dos dentes posteriores necessitamos de uma avaliação minuciosa da estrutura dentaria remanescente do paciente bem como os seus hábitos alimentares e para funcionais (Bruxismo, Apertamento dos dentes, morder objetos) que poderão determinar a escolha do material restaurador a ser utilizados. Atualmente as porcelanas existentes no mercado apresentam grande resistência para a mastigação bem como resultados estéticos extraordinários.

Dr. Rodrigo F. Carregal – CROMG 13.289
Caso Clínico 1
Destes posteriores com restaurações em metal gastas e com infiltração. Foi prospeto e executado restaurados em porcelana.

Dr. Rodrigo F. Carregal – CROMG 13.289
Caso Clínico 2
Destes posteriores com restaurações em metal gastas e com infiltração. Foi proposto e executado restaurados em porcelana.

Dr. Rodrigo F. Carregal – CROMG 13.289
Dr. Mateus Carregal – CROMG 46380

Dr. Rodrigo F. Carregal – CROMG 13.289
Caso Clínico 3
Destes posteriores com restaurações com perda das restaurações e cárie. Foi proposto e executado restaurados em porcelana.

Dr. Rodrigo F. Carregal – CROMG 13.289